Kenapa Gusi Hitam
Ini dia beberapa informasi metode bedah untuk menjadikan gusi kembali berwarna merah mudah.

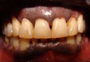
Kenapa gusi hitam. Terlihat bahwa gusi mengalami pembengkakan dan memerah selang beberapa hari ketika kita raba gusi bengkak akan terasa lunak yang menandakan adanya cairan nanah dibalik gusi. Kenapa gusi bisa bengkak. Penyebab gusi hitam kebanyakan diakibatkan oleh kebiasaan anda yang suka merokok. Pada dasarnya gusi yang sehat tidak akan berdarah ketika anda menggosok gigi berwarna merah muda kencang dan dapat menahan gigi dengan kuat.
Tapi memang beberapa bulan lalu saya pernah kecanduan kopi mencoba rokok dan alkohol. Oleh karena itu gigi akan berubah menjadi hitam dan bahkan keropos. Cidera atau trauma pada gigi dan gusi. Jika gelembung gusi abses terbuka atau pecah maka keluarlah cairan berbau busuk berwarna kekuningan jelas sudah inilah gejala gusi bernanah.
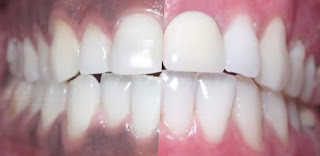
Dokter gigi akan membantu memilihkan yang paling tepat sesuai kondisi anda. Jika selama ini anda adalah pecandu berat rokok maka hindari kebiasaan tersebut sebagai cara efektif untuk mencerahkan gusi yang hitam. Lalu apa yang bisa menyebabkan gusi bengkak. Dok saya mau tanya kenapa gusi saya terlihat hitam.
Oleh karena itu penting bagi anda untuk menjaga gigi dan gusi terhindar dari cidera dan trauma. Semua itu tergantung penyebab gusi hitam yang anda alami serta kondisi kesehatan secara keseluruhan. Salah satunya untuk menghindarinya adalah menjaga pola makan sehat dan menjaga kebersihan mulut serta merawat gigi. Kandungan tar dan nikotin dalam rokok selain dapat merusak lapisan email gigi ternyata juga dapat menyebabkan gusi berubah hitam.
Gusi hitam gelap atau cokelat mungkin karena seseorang memiliki lebih banyak melanin dalam tubuh. Jika gusi seseorang sangat gelap tidak ada alasan untuk khawatir. Namun jika warna gusi menghitam dalam waktu yang singkat atau jika bercak bercak hitam muncul di gusi kemungkinan tidak disebabkan oleh melanin dan mungkin. Kenali 6 penyebab utama gigi hitam.
Selain itu noda pada enamel yang menyebabkan gigi hitam juga bisa terjadi karena faktor faktor tertentu mulai dari kebiasaan buruk hingga penyakit atau kondisi medis tertentu. Penyebab gigi hitam selanjutnya adalah gigi surut. Gusi bengkak merupakan kondisi yang umum terjadi dan ditandai dengan gusi yang membesar dan menonjol. Gigi anak bisa menjadi hitam dikarenakan ia mengalami cidera atau trauma pada gigi.
Saat gusi gelap tidak lagi bisa diatasi dengan cara sederhana dengan bahan alami dan juga perubahan gaya hidup lebih bersih dan higienis pembedahan adalah solusi yang terbaik. Cara mengatasi gusi hitam dengan bedah. Tapi saya sudah berhenti total. Apakah ada cara supaya gusi terlihat tidak hitam.
Berikut ini adalah beberapa faktor penyebab gigi hitam yang mungkin tidak anda sadari. Misalkan dengan mengkonsumsi makanan tertentu. Apakah itu faktor keturunan karena sepertinya saya mengalaminya dari kecil. Ada beberapa cara memerahkan gusi yang berbeda untuk menghilangkan gusi hitam.









/data/photo/2013/11/19/0936399karies780x390.jpg)









:strip_icc():format(jpeg)/kly-media-production/medias/1556483/original/022678100_1491302441-071806900_1470732963-Gigi_2.jpg)


























































:strip_icc():format(jpeg)/kly-media-production/medias/1457880/original/023274900_1483456549-rubrik-gigi-mulut_gusi-turun-sakit-gigi.jpg)


:strip_icc():format(jpeg)/kly-media-production/medias/2288454/original/011754100_1532331794-Pemeriksaan_Gigi.jpg)









:strip_icc():format(jpeg)/klikdokter-media-buckets/medias/2302938/original/086429200_1547458716-Penyakit-Karang-Gigi-By-Sergii-Kuchugurnyi-Shutterstock.jpg)
